تصویربرداری رادیولوژی (اشعه ایکس)
مرور کلی (Overview)
اشعه ایکس یک آزمایش سریع و بدون درد است که از ساختارهای داخل بدن — بهخصوص استخوانها — تصویربرداری میکند.
پرتوهای اشعه ایکس از بدن عبور میکنند. این پرتوها بسته به چگالی مادهای که از آن میگذرند، به میزان متفاوتی جذب میشوند. مواد متراکم مثل استخوان و فلز در تصویر اشعه ایکس سفید دیده میشوند و بطور مثال هوای داخل ریهها به رنگ سیاه دیده میشود. چربی و عضله نیز در طیفی از رنگ خاکستری ظاهر میشوند.
برای برخی از انواع آزمایشهای اشعه ایکس، ماده حاجب — مانند ید یا باریم — وارد بدن میشود تا جزئیات بیشتری در تصاویر دیده شود.
چرا انجام میشود؟ (Why it's done)
تصویر اشعه ایکس از آرتریت زانو

آرتریت زانو ممکن است یک سمت مفصل را بیشتر از سمت دیگر درگیر کند. این تصویر اشعه ایکس نشان میدهد که غضروف محافظ از بین رفته و باعث شده استخوانها با هم تماس پیدا کنند.
اشعه ایکس قفسه سینه

اشعه ایکس قفسه سینه به تشخیص مشکلات قلب و ریه کمک میکند. تصویر سمت چپ یک تصویر فرد معمولی است. تصویر سمت راست وجود یک توده در ریه راست را نشان میدهد.
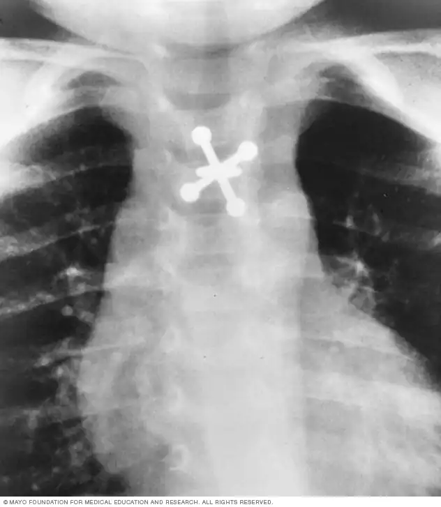
اشعه ایکس از جسم بلعیدهشده

اشعه ایکس میتواند اجسام فلزی بلعیدهشده توسط کودک را مشخص کند.
کاربردهای اشعه ایکس در بخشهای مختلف بدن
استخوانها و دندانها
- شکستگی و عفونت: در بیشتر موارد، شکستگی یا عفونت استخوان و دندان در اشعه ایکس به وضوح دیده میشود.
- آرتریت: اشعه ایکس مفاصل میتواند نشانههای آرتریت را نشان دهد. تصاویر دورهای میتواند نشان دهد که آیا آرتریت بدتر شده است یا نه.
- پوسیدگی دندان: دندانپزشکان برای تشخیص حفرههای دندانی از اشعه ایکس استفاده میکنند.
- پوکی استخوان: نوع خاصی از تستهای اشعه ایکس میتواند تراکم استخوان را اندازهگیری کند.
- سرطان استخوان: تومورهای استخوانی در اشعه ایکس قابل مشاهده هستند.
قفسه سینه
- عفونتها و بیماریهای ریه: نشانههایی از ذاتالریه، سل یا سرطان ریه ممکن است در اشعه ایکس دیده شود.
- سرطان پستان: ماموگرافی نوعی اشعه ایکس مخصوص بررسی بافت پستان است.
- بزرگی قلب: نشانهای از نارسایی قلبی است و در اشعه ایکس به وضوح دیده میشود.
- انسداد عروق: تزریق ماده حاجب حاوی ید میتواند بخشهایی از سیستم گردش خون را برجسته کند تا بهتر دیده شوند.
شکم
- مشکلات دستگاه گوارش: باریم — که به صورت خوراکی یا تنقیه داده میشود — میتواند مشکلات سیستم گوارشی را نشان دهد.
- اجسام بلعیدهشده: اگر کودک وسیلهای مثل کلید یا سکه بلعیده باشد، اشعه ایکس محل آن را نشان میدهد.
خطرات (Risks)
قرار گرفتن در معرض تابش
برخی نگران ایمنی اشعه ایکس هستند زیرا تابش میتواند تغییراتی در سلول ایجاد کند که احتمالاً به سرطان منجر شود. میزان تابش بستگی به اندام یا بافتی دارد که بررسی میشود. کودکان نسبت به بزرگسالان حساستر هستند.
با این حال، میزان تابش اشعه ایکس معمولاً پایین است و فواید آن بسیار بیشتر از خطرات احتمالی است.
اگر باردار هستید یا احتمال میدهید باردار باشید، قبل از انجام اشعه ایکس به تیم درمان خود اطلاع دهید. بیشتر اشعه ایکسهای تشخیصی خطر کمی برای جنین دارند، اما ممکن است از روش تصویربرداری دیگری مانند سونوگرافی استفاده شود.
ماده حاجب
در برخی افراد تزریق ماده حاجب ممکن است عوارضی ایجاد کند مثل:
- احساس گرما یا داغی
- مزه فلزی در دهان
- سبکی سر
- تهوع
- خارش
- کهیر
به ندرت واکنشهای شدید رخ میدهد مانند:
- افت شدید فشار خون
- مشکل در تنفس
- تورم گلو یا بخشهای دیگر بدن
آمادگی قبل از آزمایش (How you prepare)
تصویر اشعه ایکس از سنگ کلیه

این تصویر با استفاده از ماده حاجب سنگ کلیهای را نشان میدهد که در محل اتصال کلیه به حالب قرار گرفته است.
آزمایش اشعه ایکس

لوله دستگاه اشعه ایکس روی شکم متمرکز شده است. پرتوها از بدن عبور کرده و روی صفحه مخصوص تصویر ایجاد میکنند.
نحوه آمادگی
آمادگی لازم بسته به نوع اشعه ایکس متفاوت است. از تیم درمان خود بخواهید دستورالعمل دقیق ارائه دهد.
لباس مناسب
معمولاً باید لباسی که بخش موردنظر بدن را پوشانده است، درآورید. ممکن است لازم باشد گان (روپوش بیمارستانی) بپوشید. همچنین باید جواهرات، عینک و اشیای فلزی را بردارید، زیرا ممکن است در تصویر دیده شوند.
ماده حاجب
پیش از برخی از انواع اشعه ایکس، مایع ماده حاجب — مانند باریم یا ید — به صورت خوراکی، تزریقی یا تنقیه دریافت میکنید تا ناحیه موردنظر واضحتر دیده شود.
چه انتظاری داشته باشید (What you can expect)
حین انجام اشعه ایکس
اشعه ایکس در مراکز تصویربرداری، کلینیکها، اورژانسها و بیمارستانها انجام میشود. دستگاه، پرتوی ایمن تولید میکند که از بدن عبور کرده و روی صفحه مخصوص تصویر ایجاد میکند. شما اشعه ایکس را حس نمیکنید.
تکنسین بدن شما را در موقعیت مناسب قرار میدهد. ممکن است از بالش یا کیسه شن برای ثابت نگهداشتن وضعیت استفاده میشود. هنگام گرفتن تصویر باید بیحرکت بمانید و گاهی نفستان را نگه دارید تا تصویر تار نشود.
زمان انجام، بسته به نوع اشعه ایکس متفاوت است — از چند دقیقه برای تصاویر ساده تا مدت طولانیتر برای آزمایشهای همراه با ماده حاجب.
اشعه ایکس کودکان
برای کودکان ممکن است از ابزارهای ثابتکننده استفاده شود تا حرکت نکنند و نیاز به تکرار تصویرگیری نباشد.
ممکن است اجازه داشته باشید کنار کودک بمانید. اگر در اتاق حضور داشته باشید، معمولاً باید روپوش سربی بپوشید تا از تابش اضافی محافظت شوید.
پس از اشعه ایکس
معمولاً پس از انجام اشعه ایکس میتوانید فعالیتهای عادی خود را از سر بگیرید. اشعه ایکس معمولی عارضهای ندارد.
اگر پیش از آزمایش ماده حاجب دریافت کردهاید، مایعات فراوان بنوشید تا ماده حاجب از بدن خارج شود.
در صورت درد، تورم یا قرمزی محل تزریق با تیم درمان تماس بگیرید. همچنین بپرسید چه علائمی را باید تحت نظر داشته باشید.
نتایج (Results)
تصاویر اشعه ایکس به صورت دیجیتال ذخیره میشوند و در عرض چند دقیقه قابل مشاهدهاند. معمولاً یک رادیولوژیست تصاویر را بررسی کرده و گزارش را برای تیم درمان شما ارسال میکند تا نتیجه را توضیح دهند.
در شرایط اورژانسی، نتیجه اشعه ایکس در چند دقیقه آماده میشود.
دیدگاه ها (3)